CABINET D'ORTHODONTIE DU DR ABECASSIS-FAIBIS
ORTHODONTISTE À VINCENNES PROCHE DU COLLÈGE DE VOTRE ENFANT ET DE PARIS 12 ÈME
CABINET D'ORTHODONTIE DU DR ABECASSIS-FAIBIS
ORTHODONTISTE À VINCENNES PROCHE DU COLLÈGE DE VOTRE ENFANT ET DE PARIS 12 ÈME

38 rue Charles Silvestri
94300 Vincennes

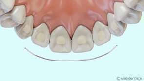
Fil de contention


video-play-icon

Articles similaires

Création par Webdentiste

Connexion